DENTAL VENEERS

Veneers


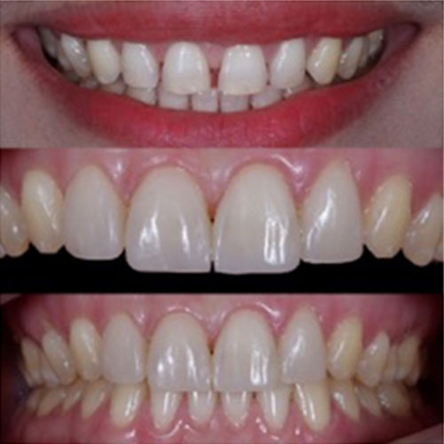
If your front teeth are stained, chipped or misaligned veneers are a good solution to transform your smile giving you a lasting impact.

They can also be used to close small gaps. Veneers improve symmetry and colour to enhance an individual’s smile. Patients are likely to feel a boost of confidence in there appearance. This treatment is hugely popular and a safe way to change the look of your front teeth.

A Veneer is a thin shell made out of porcelain or composite yet incredibly strong and durable. They are carefully bonded onto the underlying teeth allowing them to function like normal teeth meaning, you can chew all your favourite foods without worrying. You can either have one placed or a whole set for a smile makeover.


The Benefits - Porcelain Veneers


  • Made professionally by experienced laboratory ceramists
  • A simple and quick way of cosmetically improving your smile
  • Long lasting - if properly maintained veneers can last long time
  • A great confidence boost - if your front teeth look unsightly veneers can restore your confidence

The Benefits - Composite Veneers


  • Professionally created directly on the tooth in the surgery by layering the composite material
  • Minimal tooth preparation normally required
  • Requires only a few visits
  • Long Lasting

Find out more about the cosmetic dentistry treatments we offer: