COMPOSITE BONDING

Composite Bonding


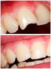
Composite tooth bonding is a cosmetic procedure that can transform your smile.

It can also be used to fill gaps between teeth, repair chipped teeth, resurface or slightly reposition your front teeth. Unlike veneers and crowns, which are made of porcelain in the dental laboratory, bonding usually can be done in one or two visits in the surgery and anaesthesia is usually not required.

The composite bonding process involves a cosmetic dentist skillfully blending the exact quantity and colour of composite substance, to create the ideal tooth shape that fits your beautiful smile.

Composite bonding is among the easiest and most affordable of all cosmetic dentistry procedures.


The Benefits - Composite bonding


  • Closing gaps between widely spaced teeth
  • Repairing chipped or broken teeth
  • Reshaping teeth for a uniform, pleasing appearance
  • Performing a smile makeover using composite veneers

Find out more about the cosmetic dentistry treatments we offer: